Endoprothetikzentrum
Klinik Bad Windsheim
Endoprothetikzentrum
Leitung: Chefarzt Dr. Mathias Bender
Endoprothetikzentrum der Maximalversorgung
Erkenbrechtallee 45
91438 Bad Windsheim


Patientenveranstaltung des EPZ Bad Windsheim
Infoabend „Alles rund um Hüft- & Kniegelenkersatz“ – eine Veranstaltungsreihe des Endprothetikzentrum der Klinik Bad Windsheim
Ihr Spezialist für Knie-, Hüft- und
Gelenkendoprothesen
kompetent • modern • menschlich
In unserem Endoprothetikzentrum der Maximalversorgung behandeln wir Ihre Gelenkschmerzen und informieren Sie über deren Behandlungsmöglichkeiten. Chefarzt Dr. Mathias Bender steht Ihnen mit seinem gesamten Team am EPZ der Klinik Bad Windsheim für Ihre Fragen rund um Ihr Gelenk zur Verfügung.
Aufgrund der zahlreichen möglichen Ursachen für Gelenkbeschwerden sowie der daraus resultierenden unterschiedlichen Behandlungs- und Therapieformen, empfehlen wir Ihnen in jedem Fall, unser unverbindliches Erstgespräch. Nutzen Sie die Möglichkeit, sich mit unserem erfahrenen Team über die individuell auf Ihre Schmerzen abgestimmte Therapie auszutauschen. Wir freuen uns darauf, Sie persönlich kennenzulernen und Ihnen Wege zurück zur Schmerzfreiheit aufzuzeigen.
Kontakt & Sprechzeiten
sowie nach Vereinbarung

Dr. Mathias Bender
Chefarzt
Unfallchirurgie, Orthopädie, Endoprothetikzentrum, D-Arzt
Erkenbrechtallee 45
91438 Bad Windsheim
Tel.: 09841 99-101
E-Mail: info.epz@kliniken-nea.de
Unsere Leistungen
Wie äußern sich Knieschmerzen?
Knieschmerzen können sich in unterschiedlicher Art und Weise äußern. Manche empfinden sie als stechende Knieschmerzen, bei anderen sind es drückende oder ziehende Knieschmerzen. Sie können im Ruhezustand auftreten oder bei Belastung, plötzlich oder schleichend kommen, sich außen, innen, vorn oder hinten am Knie bemerkbar machen. Oft strahlen sie aus in andere Körperteile. Als chronische Knieschmerzen werden sie in der Regel bezeichnet, wenn die Beeinträchtigung länger als drei bis sechs Monate anhält.

Therapie von Knieschmerzen
Für eine erfolgreiche Therapie von Knieschmerzen ist zunächst die Feststellung des konkreten Problems wichtig:
1. Wo treten die Knieschmerzen auf?
- Im Kniegelenk
- An der Kniescheibe
- In der Kniekehle
- An der Knie-Außenseite (laterale Knieschmerzen)
- An der Knie-Innenseite (mediale Knieschmerzen)
- Vorne oder hinten am Knie
2. Welche Symptome kennzeichnen die Knieschmerzen?
- Schwellung des Knies oder Kniegelenks
- Schmerzen des Knies im Ruhezustand
- Schmerzen im Knie bei Belastung, vor allem schon bei geringen Belastungen
- Schmerzen beim Laufen, im Ruhezustand oder nachts
- Zunehmende Bewegungseinschränkung des Knies
- Steifigkeit des Kniegelenks sowie Anlaufschmerzen
Ursachen von Knieschmerzen
Woher kommen die Schmerzen im Knie? Die Ursachen von Knieschmerzen sind vielfältig. Nach einer Verletzung zum Beispiel beim Sport ist Betroffenen relativ klar, woher die Knieschmerzen rühren, und sie suchen meist von selbst umgehend einen Arzt oder Orthopäden auf. Ohne ein solch einschneidendes Ereignis ist die Frage nach der Ursache schwieriger. In vielen Fällen liegt schlicht eine Überbelastung zugrunde, zum Beispiel durch intensiven Sport oder Fehlbelastungen des Knies.
Eine weitere, weit verbreitete und unangenehme Ursache von Knieschmerzen ist Arthrose (Gelenkverschleiß). Dabei baut sich im Laufe der Zeit Knorpel an den Gelenken ab. Dieser schützt im gesunden Knie die Gelenke und verhindert, dass Knochen aufeinander reiben. Er hat damit eine Dämpf- und Pufferfunktion, die bei einer Gonarthrose (Knie-Arthrose) mit der Zeit verloren geht. Der Gelenkschaden bereitet Betroffenen oft Schmerzen. Das Kniegelenk wird durch den Schaden steifer und damit auch weniger beweglich.
Knieschmerzen behandeln
Eingehende Untersuchung der Knieschmerzen
Behandelt werden können Knieschmerzen entweder konservativ durch Ruhe, Medikamente und Physiotherapie oder operativ. Letzteres ist beispielsweise bei Sportverletzungen durch einen Routine-Eingriff relativ unkompliziert gelöst. Bei einer fortgeschrittenen Arthrose kann in letzter Instanz bei anhaltend starken Schmerzen und einem entsprechenden ärztlichen Befund der Einsatz eines künstlichen Kniegelenks (Knieprothese) für Besserung sorgen. Der Patient sollte sich sorgfältig von einem Orthopäden informieren lassen und bestenfalls eine fachärztliche Zweitmeinung einholen.
Die Knie-Operation
Die Implantation einer Knie-Endoprothese ist mittlerweile ein Routineeingriff in orthopädisch-chirurgischen Gelenkzentren. Ein gut eingespieltes Team kümmert sich schon bei Ihrer Aufnahme um eine optimale Betreuung und Versorgung. Die einzelnen Operationsschritte folgen einem präzisen Ablauf.
Der Ablauf der Knie-OP
Neben den herkömmlichen Operationsmethoden gibt es auch weichteilschonende minimalinvasive Techniken, bei denen die Muskeln nicht durchtrennt, sondern nur beiseite geschoben werden. Beim operativen Eingriff wird das erkrankte Kniegelenk durch ein Kunstgelenk ersetzt. Die Implantation dauert ungefähr ein bis zwei Stunden und kann in Voll- oder Teilnarkose erfolgen. Eine Teilnarkose ist für den Organismus weniger belastend. Der Anästhesist spritzt dabei ein örtliches Betäubungsmittel, die betreffende Körperregion wird daraufhin gefühllos und schmerzunempfindlich.

Der Operateur beginnt an der Knievorderseite mit einem Schnitt und legt das Kniegelenk frei. Die zerstörten Gelenkflächen von Ober- und Unterschenkelknochen werden entfernt, ebenso wie verbliebene Meniskusreste und eventuell gereizte Schleimhaut.
Mittels Spezialschablonen werden die zerstörten Knorpel-/Knochenflächen von Oberschenkel und Schienbeinkopf präzise für die Implantation des neuen Kniegelenks vorbereitet.
Mit einem Probeimplantat kontrolliert der Operateur noch einmal den korrekten Sitz, Größe, Stabilität und Bewegungsspielraum. Anschließend werden die Original-Femur- und Tibiakomponenten implantiert. Auf die metallische Tibiakomponente setzt der Arzt einen Polyethyleneinsatz, der ein reibungsloses Gleiten der Komponenten ermöglicht.
Eventuell muss auch die Rückseite der Kniescheibe ersetzt werden, je nachdem wie weit der Knorpelschaden fortgeschritten ist. Nach einer letzten Funktions- und Beweglichkeitsprüfung erfolgt die endgültige Fixierung des Gelenks. Die Wunde wird verschlossen und ein Kompressionsverband angelegt.
Die Operationswunde
Um Ihren Wundschmerz möglichst gering zu halten, führen wir eine lokale Infiltrationsanästhesie (LIA) im Operationsgebiet des Knies durch. Ergänzend beginnen wir die medikamentöse Schmerztherapie bereits vor der OP, setzen diese in der OP fort, und passen diese post operativ individuell an Ihre Bedürfnisse an. In der Regel verwenden wir Hautklammern, die nach 14 Tagen entfernt werden können. Durch sorgfältige Blutstillung intraoperativ und spezielle Medikamente kann man auf die Einlage von Drainagen verzichten. Mittlerweile ist nachgewiesen, dass dies zu einem geringeren Blutverlust führt. Die Wahrscheinlichkeit, dass Sie nach der Operation fremdes Blut bekommen, haben wir unter 2 % reduziert. Ist die Wunde am Knie gut verheilt, können Sie bereits mit der Bewegungstherapie beginnen, zum Beispiel im Bewegungsbad.
Thrombosevorbeugung
Blutverdünnende Mittel, frühzeitige Aktivität und Vollbelastung des neuen Kniegelenks schützen Sie vor einer Thrombose. Auf Kompressionsstrümpfe kann verzichtet werden.
Nach der Knie-Operation
Im Aufwachraum kontrolliert ein geschultes Pflegeteam Ihr Allgemeinbefinden. Nach einer Vollnarkose beginnt die Mobilisierung Ihres Kniegelenks bereits ca. 1–2 Stunden nach der Knie-OP im Aufwachraum. Sie dürfen das Knie voll belasten und bereits erste Schritte gehen. Nach einer Teilnarkose erfolgt Ihre erste Mobilisierung nach Abklingen der Betäubung ca. 4–6 Stunden nach Narkosebeginn in Ihrem Zimmer. Mit jedem Schritt gewinnen Sie mehr an Mobilität und Lebensqualität.
Die ersten Bewegungen
Die Mobilisation des Kniegelenks startet im Liegen mit Ihren Eigenübungen zur Thrombose und Pneumonieprophylaxe, gefolgt von Beuge- und Streckübungen. Ein Physiotherapeut unterstützt Sie dabei. Danach setzen Sie sich mit Hilfe an den Bettrand. Mit Hilfe unseres höhenverstellbaren Gehwagens helfen wir Ihnen in den Stand. Hier belasten Sie Ihre Beine abwechselnd und gehen quasi auf der Stelle. Wenn Ihr Kreislauf es erlaubt, gehen Sie im Gehwagen Ihre ersten Schritte im Aufwachraum, mit Ihrem neuen Kniegelenk. Sie dürfen voll auf Ihr operiertes Knie auftreten. Hatten Sie eine Teilnarkose, erfolgt die Mobilisation nach deren Abklingen auf Ihrem Zimmer. Das Übungsziel ist, schnell wieder den normalen Bewegungsumfang zu erreichen und die Muskulatur im Knie zu kräftigen.
Ihr eigener Therapeut begleitet Sie
Je nach Ende Ihrer OP oder Abklingen der Narkose werden Sie am Abend des Operationstages nochmals im Taurus-Gehwagen auf Station mobilisiert. Dies erfolgt durch unsere Pflegekräfte oder die Physiotherapie. Spätestens ab dem ersten post OP-Tag begleitet Sie immer der gleiche Physiotherapeut durch Ihren stationären Aufenthalt. Ihr Physiotherapeut stimmt den weiteren Behandlungsverlauf individuell auf Ihre Bedürfnisse ab. Mit ihm erlernen Sie das Gehen unter voller Belastung des operierten Knies im 4 Punkte -Gang und das Treppensteigen. Er verbessert Ihre Beweglichkeit, behandelt und reduziert auftretende Schwellungen. Er gibt Ihnen Ihre Aufgaben zu Eigenübungen auf unserem Übungsparcours und erlaubt Ihnen die Teilnahme an unserer Gruppentherapie.
Anschlussheilbehandlung
Die Anschlussheilbehandlung kann sowohl ambulant als auch stationär in einer Reha-Einrichtung erfolgen. Art und Umfang der Reha-Maßnahmen werden vom Sozialdienst der Klinik gemeinsam mit Ihnen geplant und alle hierfür erforderlichen weiteren Schritte eingeleitet.
Entlassungsgespräch und Kontrolluntersuchungen
Bei Ihrer Entlassung erhalten Sie einen Brief für Ihren weiterbehandelnden Arzt, der den bisherigen Verlauf und Empfehlungen für die weitere Behandlung des Kniegelenks enthält. Nach der Operation sollten Sie in regelmäßigen Abständen Kontrolluntersuchungen durchführen lassen, auch wenn Sie beschwerdefrei sind. Sie dokumentieren Ihre Fortschritte und lassen mögliche Komplikationen frühzeitig erkennen und ausräumen. Der Rhythmus kann unterschiedlich sein. Nachsorgetermine tragen Sie am besten gleich in Ihren Endoprothesenpass ein, den Sie in der Klinik erhalten und stets bei sich tragen sollten.
Etwa 8 bis 12 Wochen nach der Knie-Operation ist Ihre Muskulatur wieder so weit gestärkt und aufgebaut, dass sie zur Stabilität Ihres Gelenks beiträgt.
Roboterunterstützte Knie-Operation (Makoplasty)
Seit Mitte 2020 verfügt das Endoprothetikzentrum der Klinik Bad Windsheim über einen Operationsroboter. Damit können präoperative Planungen exakt umgesetzt werden. Eine so gleichbleibend hohe Qualität wie mit dem OP-Roboter kann kein Operateur mit bloßer Hand gewährleisten.
Der Operationsroboter unterstützt die erfahrenen Operateure beim Einsatz künstlicher Kniegelenke. Durch das Roboterarm assisitierte Verfahren ist es möglich, ein künstliches Kniegelenk exakt so einzusetzen, wie es zuvor geplant wurde.

Die Makoplasty-Operateure Dr. Mathias Bender (li.) und Dr. Nikolaj Vasak (re.) sowie Dr. Josef Benda, Thomas Leibner und Dr. Patrick Krautblatter
Chefarzt Dr. Mathias Bender erklärt die Vorteile der Roboter-OP in der Klinik Bad Windsheim
Die Vorstellung von einem Roboter operiert zu werden, mag zunächst ungewöhnlich klingen: Ganz so ist es glücklicherweise nicht. Die Operation wird von einem orthopädischen Chirurgen durchgeführt, der die Software des Mako Systems zur Vorplanung Ihrer Operation verwendet. Ihr orthopädischer Chirurg wird den Mako Roboterarm zur Entfernung von erkranktem Knochen und Knorpel steuern. Anschließend setzt der Chirurg das Implantat ein. Die Mako Technologie wurde entwickelt, um Chirurgen darin zu unterstützen, Patienten eine individuelle auf ihre spezielle Diagnose und Anatomie zugeschnittene Operationserfahrung zu bieten.
Vorteile des Eingriffs mit dem OP-Roboter
- Patienten profitieren von der Expertise und Erfahrung der Operateure und zugleich von den Möglichkeiten der Technik
- Die Operateure planen den Eingriff, der Roboter unterstützt bei der Umsetzung
- Ergebnisse werden noch präziser als von bloßer Hand des Operateurs.
- Selbst millimeterkleine Verwacklungen werden vom Roboter gebremst. Damit kann der Chirurg nur den Teil des Knochens entfernen, der auch entfernt werden soll – keinen Millimeter mehr.
Roboter-Operationen, also von künstlicher Intelligenz (KI) gestützte Eingriffe in der Orthopädie, sind erst seit wenigen Jahren auf dem Vormarsch. Die Klinik Bad Windsheim ist eine der ersten Kliniken, die einen solchen Operationsroboter einsetzt. Bisher arbeiten nur 14 von rund 1400 Kliniken in Deutschland mit einem OP-Roboter der Marke Stryer Mako (Stand Januar 2020). Experten rechnen damit, dass die neue Technik aus den Operationssälen der Endoprothetik in der Zukunft nicht mehr wegzudenken ist.
Das Endoprothetikzentrum der Klinik Bad Windsheim schreitet damit aufs Neue voran, um das Beste für Ihr neues, künstliches Kniegelenk herauszuholen. Diese Kombination gibt es so bisher nur einmal in Deutschland: hochpräzise Operation mit Roboter- Hilfe (Makoplasty), das Behandlungsprogramm „Schnelle Genesung“ (Rapid Recovery Programm) und das in einem Endoprothetikzentrum der Maximalversorgung, das für hervorragende Arbeit und langjährige Erfahrung der Operateure steht und zertifiziert ist.

Operation mit Hilfe des Mako-Roboterarmes

Einsetzen einer Knie-Prothese

Computerunterstützung beim Einsatz einer Knie-Endoprothese
Besonderheiten der Makoplasty (Operation mit OP-Roboter)
- Erstellung eines patientenspezifischen Plans
Zunächst wird eine Computertomographie (CT) des Gelenks erstellt. Auf dieser Basis entsteht ein virtuelles 3D-Modell der individuellen Anatomie des Patienten. Dieses virtuelle Modell wird in die Software des Mako-Systems geladen und dient als Grundlage für den individuellen präoperativen Plan. - Im Operationssaal
Im Operationssaal verwendet der Chirurg den Mako- Roboterarm zur Unterstützung bei der Operation – basierend auf dem für den jeweiligen Patienten erstellten OP-Plan. Das Mako-System erlaubt es dem Chirurgen zudem, den Plan während des Eingriffs nach Bedarf anzupassen. Bei der Präparation des Knochens für das Implantat führt das Mako-System den Chirurgen im vorab definierten Bereich und unterstützt ihn dabei, die vorher festgelegten Grenzen nicht zu überschreiten. Dies erlaubt eine präzisere Positionierung und Ausrichtung des Implantats. - Nach der Operation
Nach der Operation legen der Chirurg, die Pflegekräfte und der Physiotherapeut gemeinsam mit dem Patienten Ziele fest, damit er schnell wieder auf die Beine kommt. Sie überwachen den Zustand und die Fortschritte des Patienten engmaschig. In der Regel können Patienten bereits ein bis zwei Stunden nach der Operation aufstehen und das Bein voll belasten.
Häufige Fragen zur Knie-OP mit Roboterunterstützung (Makoplasty)
Welche Vorteile bringt die Roboter-Operation?
Das Gerät der Firma Stryker Mako ermöglicht detaillierte Planungen auf Basis der zuvor per Computertomografie aufgenommenen 3-D-Modelle. Das trägt zu einem optimalen Sitz und der individuell bestmöglichen Position der Knie-Prothese bei. Der Einbau künstlicher Kniegelenke erfolgt millimetergenau und präzise. Neigungswinkel, Drehung des Gelenkes in allen drei Ebenen sowie Spannung der Bänder: alles wird mit berücksichtigt. Auch während der Operation ist es möglich, die Bandspannung zu prüfen und bei Bedarf anzupassen. Sie ist wichtig für einen optimalen Bewegungsumfang und die Stabilität des Kniegelenkes. Der Roboter übernimmt 1:1 das, was der Chirurg vorher geplant hat. Eine so gleichbleibend hohe Qualität ist mit bloßer Hand kaum zu gewährleisten.
Führt der Mako Roboterarm die Operation selbst durch?
Nein, die Operation wird von einem orthopädischen Chirurgen durchgeführt: Er verwendet das von ihm gesteuerte Roboterarmsystem, um die Operation vorab zu planen und das Implantat zu positionieren. Der Roboterarm führt nicht die Operation durch und kann auch keine eigenen Entscheidungen treffen oder sich ohne Führung durch den Chirurgen bewegen. Das Mako-System erlaubt es Ihrem Chirurgen zudem, den Plan während des Eingriffs nach Bedarf anzupassen.
Wie lange halten Knieimplantate?
Die individuellen Ergebnisse fallen unterschiedlich aus und nicht alle Patienten erreichen nach der Operation dieselbe Bewegungsfähigkeit. Knieprothesen halten nicht unbegrenzt und individuell unterschiedlich lang. Ihr Arzt wird Sie beraten, wie Sie Ihre körperliche Betätigung gestalten sollten, damit die Prothese möglichst lange hält. Diese Strategien umfassen die Vermeidung von Tätigkeiten mit hohen Belastungsspitzen wie Joggen und die Beibehaltung eines gesunden Gewichts.
Seit wann gibt es den OP-Roboter Stryker Mako?
Nach dem Mako-Verfahren ist zum ersten Mal im Juni 2006 mit einem OP-Roboter in den USA operiert worden. Seit 2011 werden Mako-OPs in Europa, seit 2013 auch in Deutschland durchgeführt.
Wie funktioniert der Eingriff mit dem OP-Roboter?
Zunächst wird per Computertomografie ein Abbild des betroffenen Knies aufgenommen. Dieses Abbild dient als Basis für ein 3D-Modell, das später für die individuelle Planung und Durchführung der Operation entscheidend ist. Der Operateur lädt dieses Modell anschließend in die Software des Mako-Roboter-Systems, um anhand dessen millimetergenau die Operation zu planen. Während des Eingriffs sieht der Chirurg in Echtzeit die Ergebnisse seiner Arbeit auf einem Kontrollmonitor. Zu entfernender Knochen ist farblich markiert. Diesen sägt und fräst der Chirurg im echten Knochen ab, während er den Bildschirm als Kontrollmonitor nutzt. So sieht er, welche Bereiche noch zu entfernen sind. Mit einer Säge oder Fräse, die am Roboterarm befestigt wird, kann Stück für Stück Knochen weggenommen werden, um Platz für das spätere Implantat zu schaffen.
Wie steht es während einer Roboter-OP um meine Sicherheit? Was ist, wenn ich mich bewege?
Der Roboter ist in der Lage, Bewegungen des Patienten nachzuvollziehen. Es ist also nicht schlimm, wenn Sie sich während der Narkose bewegen. Der Roboterarm folgt Ihren Bewegungen und justiert den OP-Bereich entsprechend. Auch für den Fall, dass der Operateur versehentlich zu verrutschen droht, gibt es eine eingebaute Sperre. Läuft er Gefahr, auch nur einen Millimeter Knochen zu viel abzusägen, stoppt das Gerät. Es lässt die Bedienung nur in einem vorher vom zuständigen Arzt festgelegten Bereich zu. Damit sollen mögliche Fehlschnitte vermieden werden. Für den Chirurgen bedeutet das eine mit der Hand kaum mögliche Präzision, dem Patienten gibt es zusätzliche Sicherheit und die bestmögliche Passform.
Ich habe mir das Krankenhaus extra nach dem guten Ruf der Ärzte ausgesucht. Wird der Chirurg in einer Roboter-Operation überflüssig?
Nein. Auch weiterhin kommt es beim Einsatz eines künstlichen Gelenkersatzes auf die hohe Qualität, Erfahrung und Expertise der behandelnden Operateure an. Sie planen den Eingriff und führen ihn auch durch. Der Chirurg bleibt Herr im Ring. Er hat jederzeit die vollständige Kontrolle über das Gerät, das ohne ihn nicht in Betrieb gehen könnte. Anders als noch Vorgängermodelle sägt und fräst der Roboter auch nicht mehr eigenständig drauf los. Das Gerät muss vom Chirurgen geführt werden. Aber Operateur und Patient profitieren von mehr Sicherheit, Passgenauigkeit und Präzision. Auch beim Einsatz künstlicher Gelenke mithilfe eines OP-Roboters kommt es also weiterhin auf die Expertise und Erfahrung der behandelnden Operateure an – sowohl was die Planung des Eingriffs betrifft als auch die durchgeführte Operation. Das Endoprothetikzentrum der Maximalversorgung in der Klinik Bad Windsheim steht für höchste Patientenzufriedenheit. Sicher auch, weil die behandelnden Operateure mehr als 20 Jahre Erfahrung und Expertise mitbringen.
Wie viel Erfahrung bringen die Operateure in Bad Windsheim im Bereich Roboter-OP mit?
Die Chirurgen in Bad Windsheim haben sich auf dem Gebiet Roboter assistierter Operationen ausgiebig schulen lassen. Notwendig für die Zulassung war zudem ein zusätzliches Zertifikat, das sie im Rahmen einer Prüfung erwerben mussten. Dr. Mathias Bender, Chefarzt des Endoprothetikzentrums Bad Windsheim, hat darüber hinaus bereits um die Jahrtausendwende mit einem Vorgänger des jetzigen OP-Roboters Operationen durchgeführt und betritt in dieser Hinsicht kein Neuland.
Wie viele Kliniken nutzen bundesweit einen OP-Roboter?
Deutschlandweit verfügen 14 Kliniken über einen OP-Roboter. Europaweit sind es rund 75 Geräte, weltweit 850.
Wie viele Eingriffe im Bereich künstlicher Gelenke werden im Jahr mit einer Roboter-OP durchgeführt?
Im Jahr 2019 wurden in Deutschland, Österreich und der Schweiz 2446 Eingriffe mit dem OP-Roboter der Firma Stryker durchgeführt. Es ist sehr wahrscheinlich, dass diese Zahlen mit zunehmender Verbreitung der modernen Technik weiter steigen.
Die Klinik Bad Windsheim stellt das Mako-Robotersystem vor
In der folgenden Videoserie stellen wir unseren Makoplasty-Roboter detailliert vor. Sehen Sie, wie das roboterunterstützte OP-System in der Klinik Bad Windsheim eintrifft und in Betrieb genommen wird.

Hüftschmerzen konservativ behandeln und Schmerzen lindern
Konservative Behandlung von Hüftschmerzen durch Sport
Zum Lindern von Hüftschmerzen rät Chefarzt Dr. Mathias Bender, Leiter des Endoprothetikzentrums der Maximalversorgung der Klinik Bad Windsheim, dazu, in Bewegung zu bleiben. Fließende, rhythmische, harmonische Bewegungen wie Radfahren, Aquajogging oder Aquawalking sind dabei als konservative Maßnahme zum Reduzieren von Hüftschmerzen hilfreich, Stoßbewegungen wie beim Joggen, Tennisspielen oder Squash eher kontraproduktiv.
Auch das richtige Schuhwerk hilft bei der konservativen Behandlung von Hüftschmerzen
Gesundes Schuhwerk ist das A und O. Menschen mit Hüftschmerzen sollten sich am besten Schuhe mit weicher Sohle zulegen, die Stoßbelastungen abfangen. Beim Sport helfen Sportschuhe mit Geleinlagen. Auch im Alltag ist weiches Schuhwerk mit Geleinlagen oder Weichlagerungseinlagen empfehlenswert und kann gerade auch in der Anfangsphase einer Arthrose helfen, Hüftschmerzen zu lindern.

Was sind weitere Mittel Hüftschmerzen konservativ zu behandeln?
Konservativ behandelt werden können Arthrose bedingte Hüftschmerzen mithilfe von manueller Therapie, bei der auch Zug und Druck ausgeübt werden, oder Krankengymnastik mit dem Fokus auf Anleitungen für Eigenübungen. Hier ist Eigendisziplin gefragt. Sind die Muskelansätze mit betroffen, können Ultraschall, Stoßwellentherapie oder Friktionsmassagen ebenso wie lokale Salbeneinreibungen und kurzfristige, aber regelmäßige Schmerzmitteleinnahme hilfreich sein bei der konservativen Behandlung von Hüftschmerzen. Nur, wenn es anders nicht mehr auszuhalten ist, können Medikamente ins Gelenk gespritzt werden – gerade in der Hüftregion birgt das aber ein nicht geringes Infektionsrisiko. Diese Injektionen mit verschiedentlichen Substanzen (Cortison, Hyaluron, Thrombozytenaggregate, usw.) sollten also nur sehr zurückhaltend verabreicht werden.
Anhaltende Hüftschmerzen – Wo bekomme ich Hilfe?
Schmerzen, die schon kleine Spaziergänge zu einer Herausforderung machen und Sie zu einer Schonhaltung zwingen, können auf eine Arthrose hindeuten. Sie müssen so starke Schmerzen nicht aushalten. Halten die Schmerzen dazu über einen längeren Zeitraum an, ist es höchste Zeit, einen Orthopäden aufzusuchen. Anfangs können konservative Maßnahmen zur Linderung von Hüftschmerzen beitragen. Werden die Schmerzen so stark, dass konservative Maßnahmen nicht mehr helfen und die Schmerzen nur noch mit Medikamenten auszuhalten sind, profitieren Sie, bei gesicherter Arthrose, von einer Operation. Natürlich bedarf dies der Abstimmung mit Ihrem Arzt des Vertrauens.
Hüft-OP: Was sollte ich wissen?
Trotz Arthrose: Hüft-Operation hinauszögern
Eine anhaltende Arthrose ist leider nicht heilbar. Konservative, nicht operative Behandlungsmethoden wie Krankengymnastik, manuelle Therapie, Massagen, lokale Salbeneinreibungen, Schmerzmittel, entlastende Sportarten und gesundes Schuhwerk können eine Weile zur Linderung der Schmerzen beitragen und eine Operation zumindest noch eine Weile hinauszögern.
Wann ist bei fortgeschrittener Arthrose eine Hüft-OP ratsam?
Helfen konservative Mittel nicht weiter, anhaltende Hüftschmerzen in Schach zu halten, bestehen die starken Schmerzen fort und deutet auch das Röntgenbild auf eine fortgeschrittene Arthrose hin, kann eine Hüft-Operation das Leiden mindern.
Warum Hüft-OP? Was bewirkt ein künstlicher Gelenkersatz (Hüft-Tep)?
Dem natürlichen Hüftgelenk nachempfunden, ersetzt eine Hüft-Vollprothese den Oberschenkelkopf und die Hüftgelenkspfanne. Ein künstliches Gelenk befähigt Sie damit dazu, wieder Dinge des täglichen Lebens zu unternehmen, die unter starken Schmerzen und dem fortgeschrittenen Gelenkverschleiß (Arthrose) nicht mehr möglich waren.
Künstliches Hüftgelenk: Wie lange dauert die Hüft-OP?
Patienten mit Hüftschmerzen kommen in der Regel am Operationstag zur Aufnahme, beziehen ihr Zimmer und werden noch am selben Tag operiert. Der Einsatz eines künstlichen Hüftgelenks dauert etwa ein bis zwei Stunden. Noch am selben Tag dürfen Sie im Aufwachraum voll belasten und erste Schritte gehen.
Ablauf einer Hüft-OP: Was passiert beim Einsatz eines künstlichen Hüftgelenks?
Durch einen Hautschnitt erfolgt der Zugang zur Hüftgelenkskapsel. Der erkrankte Hüftkopf wird anschließend am Oberschenkelhals abgetrennt und entfernt. Der ebenfalls durch Arthrose beschädigte Knorpel der Hüftpfanne wird bearbeitet und exakt auf den Einsatz des künstlichen Gelenks vorbereitet. Dann wird die künstliche Pfanne mit der zum neuen Kopf passenden Gleitfläche eingesetzt. Auf der Seite des abgetrennten Oberschenkelknochens wird der Markraum geöffnet und mit Spezialraspeln so ausgehöhlt, dass später der Schaft der Endoprothese exakt hineinpasst und Halt findet. Der Einsatz des Endprothesenschafts im Oberschenkelknochen kann mit oder ohne Knochenzement erfolgen. Abschließend bringt der Operateur einen Kugelkopf auf dem Prothesenschaft an und führt Kopf und Pfanne, also die künstlichen Komponenten, zum neuen Gelenk zusammen. Das Gelenk wird gründlich auf Beweglichkeit und Funktionalität geprüft, die Wunde verschlossen und ein Kompressionsverband angelegt.
Hüft-OP minimalinvasiv
Der Einsatz einer künstlichen Hüfte kann minimal invasiv erfolgen. Dabei setzen unsere Operateure nur kleinste Schnitte in die Haut, um das künstliche Gelenk zu implantieren. Große Schnitte sind nicht notwendig. Auch Muskeln und Sehnen werden nicht mehr wie früher großzügig durchtrennt, sondern einfach zur Seite geschoben, oder nur Teile durchtrennt.
Vorteile minimalinvasiver Verfahren bei einer Hüft-Operation
Minimalinvasive Verfahren und die damit verbundenen kleineren Schnitte tragen zu einer schnellen Heilung bei und minimieren die Belastung auf den Körper. Für viele spielt auch die Ästhetik keine unbedeutende Rolle: Die durch die Hüft-Operation in minimalinvasiver Methode entstehende Narbe ist kleiner als bei anderen Verfahren.
Sie haben anhaltenden Hüftschmerzen und benötigen einen ärztlichen Rat?
Im Endoprothetikzentrum der Maximalversorgung der Klinik Bad Windsheim beraten wir Sie gern. Vereinbaren Sie einfach unverbindlich einen Termin zur Sprechstunde, auch, wenn Sie sich eine Zweitmeinung einholen möchten.


Neues Verfahren für Hüft-Operationen!
Die AMIS-Methode
Weniger Schmerzen. Schnellere Erholung. Moderne Medizin, die den Unterschied macht!
Am Endoprothetikzentrum der Maximalversorgung der Klinik Bad Windsheim kommt ab sofort eine besonders schonende Operationsmethode an der Hüfte zum Einsatz: die sogenannte AMIS-Methode. Sie gilt als modernste Technik für den Einsatz eines künstlichen Hüftgelenks – mit vielen Vorteilen für Patientinnen und Patienten.
Für wen ist die Methode geeignet?
Die AMIS-Methode kommt für viele Menschen infrage, die aufgrund von Arthrose oder anderen Hüftgelenksproblemen ein künstliches Hüftgelenk benötigen. Ob die Methode im jeweiligen Fall sinnvoll ist, klären die Fachärztinnen und Fachärzte der Klinik in einem persönlichen Gespräch. Als zertifiziertes Endoprothetikzentrum der Maximalversorgung steht die Klinik Bad Windsheim für höchste medizinische Qualität, langjährige Erfahrung und modernste Technik. Speziell geschulte Operateure und ein interdisziplinäres Team sorgen für optimale Ergebnisse und eine individuell abgestimmte Versorgung.

Anterior Minimally Invasive Surgery
Was ist das besondere an AMIS?
AMIS steht für „Anterior Minimally Invasive Surgery“, also einen vorderen, muskelschonenden Zugang zur Hüfte. Im Gegensatz zu herkömmlichen Methoden werden keine Muskeln durchtrennt. Der Eingriff erfolgt durch natürliche Zwischenräume in der Muskulatur. Dadurch wird das umliegende Gewebe deutlich weniger belastet.
Die Vorteile auf einen Blick:
- Weniger Schmerzen nach der Operation
- Noch schnellere Mobilisierung
- Kleinere Narbe und geringerer Blutverlust
- Weniger Komplikationen
- Schnellere Rückkehr in den Alltag
„Unser Ziel ist es, Patientinnen und Patienten so schnell und sicher wie möglich wieder in ein schmerzfreies und aktives Leben zu begleiten. Mit der AMIS-Methode setzen wir auf modernste Medizin und gleichzeitig auf größtmögliche Schonung für den Körper“, erklärt Chefarzt Dr. Mathias Bender.
Buchen Sie gleich einen Termin in unserer Endoprothetik-Sprechstunde und informieren Sie sich über die Möglichkeiten und Vorteile einer Hüft-OP mit der AMIS-Methode

Schulterschmerzen – Ursache, Symptome, Behandlung, Tipps
Das Schultergelenk ist das Gelenk mit dem größten Bewegungsumfang im menschlichen Skelett. Das Schultergelenk wird größtenteils von Sehnen und Muskeln stabilisiert, was einen großen Bewegungsumfang ermöglicht. Aufgrund dieses hohen Bewegungsspielraumes ist die Schulter anfällig für Verletzungen. Dies können sowohl akute Beschwerden (Sehnenriss, Verletzungen der Schulter) als auch chronische Beschwerden (z. B. durch Einrisse am Sehnengefüge, Verschleißerscheinungen) sein. Schmerzen in der Schulter sind häufig und können vielfältige Ursachen haben. Bei manchen treten sie beim Arm heben auf, bei anderen nachts, im Ruhezustand oder auch beim seitlichen Liegen. Dahinter können Verspannungen ebenso stecken wie ernsthafte Verletzungen oder Erkrankungen.
Ursachen von Schulterschmerzen
Ursachen von Schulterschmerzen sind häufig Haltungsprobleme, Traumata, Überlastung und Überbelastung sowie Gelenkverschleiß (Schulterarthrose). Sie treten bei Männern und Frauen jeden Alters auf. Schulterschmerzen strahlen oftmals aus – in den Nacken, den Arm und sogar die Finger. Häufig betroffen sind Menschen mit überwiegend sitzenden Tätigkeiten, Personen mit zu wenig Bewegung, Überkopfarbeiter (Maler) und Überkopfsportler (Tennisspieler, Hand- oder Volleyballspieler).
Schulterschmerzen schränken die Beweglichkeit des Schultergelenkes ein. Sie können akut beim Sport oder einer Überbelastung z. B. durch schweres Heben auftreten. Ein nächtliches Liegen auf dem Arm begünstigt das Entstehen von Schulterschmerzen.
Da ein nicht unerheblicher Teil der Schulterschmerzen nicht direkt vom Schultergelenk her rührt, wird eine ärztliche Diagnose der Schmerzursache empfohlen. So führen etwa Probleme im Kauapparat, wie „Pressen“ (Bruxismus) oder „Knirschen“ häufig zu Nacken- und Schulterschmerzen. Man bezeichnet diese Art der Schmerzen, die häufig von Zahnärzten diagnostiziert werden, als craniomandibuläre Dysfunktion (CMD). Weitere Auslöser von Schulterschmerzen sind rheumatische Muskelerkrankungen, Tumorerkrankungen, Borreliose (Zeckenbiss) sowie die Gürtelrose.
Die häufigsten Pathologien/Erkrankungen und deren Therapie sind:
- Rotatorenmanchette
- Impingement-Syndrom (Subacromiales Schmerzsyndrom)
- Tendinosis calcarea (Kalkschulter)
- Schulterinstabilität
- Acromioclavikulargelenksluxation, ACG-Luxation, Schultereckgelenksprengung
- Pathologien der langen Bizepssehne (LBS)
Symptome von Schulterschmerzen
Eine häufige Begleiterscheinung von Schulterschmerzen ist eine Einschränkung der Beweglichkeit bis hin zur Bewegungsunfähigkeit des Schultergelenkes. Die Schulter schmerzt bei sonst normalen Bewegungen wie etwa dem Heben eines Armes oder dem Tragen von bereits leichteren Gegenständen, sie erscheint kraftlos und instabil.
Häufig ist auch eine Schwellung und Rötung des Schultergelenkes, verbunden mit einem Gefühl von Wärme zu beobachten. Wird der Schmerz beim Liegen auf dem betroffenen Arm noch verstärkt, ist häufig der nächtliche Schlaf massiv gestört.
Auch Reibegeräusche bei Bewegungen im Schultergelenk sowie neurologische Ausfallzeichen wie etwa Kältegefühl, Taubheit in Schulter und/oder Arm („Kribbeln“) und Muskelschwäche sind mögliche Symptome.
Sollten zusätzlich Brustschmerzen, Bauchschmerzen, Atemnot oder Kreislaufprobleme hinzukommen, sollte sofort ein Arzt oder Notarzt kontaktiert werden. Plötzliche Schulterschmerzen können Akuterkrankungen wie Herzinfarkt oder Gallenkolik ankündigen.
Diagnose von Schulterschmerzen
Die richtige Anlaufstelle bei Schulterschmerzen ist in der Regel ein Facharzt für Orthopädie. Im Anamnesegespräch klärt der Orthopäde ab, welche Möglichkeiten für den Schmerz ursächlich sein könnten. In der folgenden Untersuchung betrachtet der Arzt den Körperbau und eventuelle Fehlstellungen. Außerdem werden die Schulterschmerzen durch Tastbefund (Muskeln und Sehnen) im Nacken- und Schulterbereich lokalisiert sowie die Funktion und Beweglichkeit des Schultergelenkes (Muskelkraft, Muskelreflexe, Gefühlsempfinden) geprüft. Zuletzt führt der Orthopäde eine Kontrolle von Puls und Blutdruck durch.
Bei Verletzungen und Unfällen wird der behandelnde Arzt durch Röntgendiagnostik, Ultraschall- und MRT-Untersuchung unterstützt. Hierdurch können Knochenbrüche, Muskel-, Sehnen- und Bänderverletzungen diagnostiziert werden. Zur Diagnose von Gelenkrheuma und Arthritis dienen Blutuntersuchung und Gelenkpunktion.
Therapie von Schulterschmerzen
In den meisten Fällen lassen sich Schulterschmerzen gut durch konservative Therapien behandeln. In der Regel wird der Orthopäde hierfür Physiotherapie und/oder physikalische Anwendungen (Kälte, Wärme, Elektrotherapie, Stoßwellentherapie) verordnen. Aber auch Übungen für zu Hause zur Dehnung der Schulter und Kräftigung der Schultermuskulatur und Förderung der Schulterbeweglichkeit sowie geeignete entzündungshemmende Medikamente können dazu beitragen, die Schulterschmerzen zu behandeln. Auch die Anwendung von peri-und intraartikulären Injektionen mit Medikamenten kommt regelmäßig zum Einsatz.
Liegt ein Schaden am Schultergelenk vor, kann ein operativer Eingriff zur Behandlung der Schulter nötig sein. Dies ist besonders bei Knochenbrüchen und Gelenkfrakturen, Sehnenrissen und Gelenkverschleiß (Gelenkarthrose) indiziert. Aber auch Entzündungen der Schulter (Schleimbeutelentzündung, Frozen Shoulder, bakterielle Infektionen) können einen operativen Eingriff nötig machen.
Häufig handelt es sich hierbei um minimalinvasive Eingriffe (Arthroskopie).
Schulterchirurgie/Schulterprothese
Als Folge von schweren Frakturen des Schultergelenks oder bei einer Schulterarthrose kann eine Schultergelenks-Endoprothese (künstliches Schultergelenk) die Beweglichkeit wieder bessern oder herstellen und die Schmerzen reduzieren oder ganz beseitigen. Sie werden wesentlich seltener implantiert als künstliche Kniegelenke und künstliche Hüftgelenke. In Deutschland werden pro Jahr in etwa 25.000 Operationen zum Einsatz eines künstlichen Schultergelenkes durchgeführt.
Arten von Schulterprothesen
Man unterscheidet hierbei drei Typen von Schulterprothesen:
- die Oberarmkopfprothese (Hemiprothese): hierbei wird nur die Gelenkfläche des Oberarmkopfes ersetzt
- die Schulter-TEP (Schulter-Totalendoprothese): hierbei wird zusätzlich zur Gelenkfläche des Oberarmkopfes auch die Gelenkfläche der Schulterpfanne ersetzt
- die inversive Schulterendoprothese: hierbei werden der konvexe und der konkave Gelenkteil des Schultergelenkes vertauscht
Alle diese Endoprothesen werden individuell an die Anatomie des jeweiligen Patienten angepasst und ersetzen das Schultergelenk durch ein künstliches Gelenk.
Gründe für eine Schulterprothese
Den geeigneten Operationszeitpunkt bei der Schulterarthrose bestimmt größtenteils der Patient selbst durch seinen individuellen Leidensdruck. Allerdings verschlechtert sich die Prognose einer erfolgreichen Schulter-Operation durch den Grad der Rückbildung von Muskulatur und Sehnen der Schulter. Auch die Schulterprothese erhält ihre Beweglichkeit durch Muskeln und Sehnen – wie das ursprüngliche Schultergelenk auch.
Versprechen konservative Behandlungsmethoden keinen Erfolg mehr, z. B. durch weit fortgeschrittenen Verschleiß des Schultergelenkes (Schulterarthrose), ist die Implantation einer Schulterprothese nötig. Weitere Gründe für ein künstliches Schultergelenk sind z. B. schwere Brüche des Oberarmes, rheumatische Erkrankungen, schwere Gelenkinfektionen und nachhaltige Schädigungen der Sehnen und Muskeln des Schultergelenkes.
Ablauf der Schulteroperation
Vor einer Schulteroperation sollte der Patient rechtzeitig mit einem Training der Schultermuskulatur beginnen. Eine gut trainierte Schultermuskulatur erleichtert und beschleunigt nach der Operation die Reha-Maßnahmen. Ergänzend beeinflusst eine gesunde und ausgewogene (nährstoffreiche, mineralstoffreiche) Ernährung den Heilungsprozess günstig.
Fragen Sie hierzu Ihren behandelnden Arzt im Anamnesegespräch vor der Operation.
Die Operation selbst erfolgt in der Regel unter Vollnarkose und dauert zwischen einer und zwei Stunden. Um das künstliche Schultergelenk einzusetzen, legt der Operateur durch einen Hautschnitt vor dem Deltamuskel ein. Auch die Oberarmmuskeln sowie die Sehne der Rotatormanschette werden gelöst. Nach dem Aufsetzen des Prothesenkopfes und der Präparation der Gelenkpfanne werden Sehnen und Muskeln wieder vernäht und die Wunde verschlossen.
Nach der Operation des Schultergelenkes
In den meisten Fällen ist nach der Operation des Schultergelenks keine Wunddrainage nötig. Diese wird bei vielen Operationen durchgeführt, um Wundflüssigkeit aus der Wunde abzuleiten. Unmittelbar nach der Operation ist eine Belastung des künstlichen Schultergelenkes nicht möglich. Dennoch wird der Arm zur Unterstützung der Heilung der Schultermuskulatur mobilisiert und in den ersten Wochen nach der OP begleitend ruhig gelagert (Schaumstoffschiene, Schulterkissen).
Bereits am Tag der Operation wird mit einer leichten mobilisierenden Physiotherapie begonnen. Etwa 3 Wochen nach der Operation kommen Übungen zur Rotation des Schultergelenkes hinzu. Nach ungefähr 2 Monaten beginnt das Krafttraining der Schulterprothese. Dieser Heilungsprozess wird in der Regel durch eine mehrwöchige Rehamaßnahme unterstützt.
Ungefähr 3 Monate nach der Operation sollte eine „normale“ Beweglichkeit der Schulterprothese erreicht sein.
Schmerzen im Fuß
Unterschiedliche Fußschmerzen adäquat behandeln
Der menschliche Fuß kann an den unterschiedlichsten Stellen Schmerzen verursachen.
Im Folgenden werden die Symptome sowie entsprechende Behandlungsmethoden erläutert. Im Einzelnen kann es am Fuß zu folgenden Erkrankungen/Beschwerden kommen:
Sprunggelenk-Schmerzen
Der menschliche Fuß ist mit dem anschließenden Sprunggelenk eine komplexe Konstruktion aus Knochen, Muskeln und Bändern. Insgesamt beherbergt der Fuß 26 Knochen, 33 Gelenke und 114 Bändern, welche hier zusammenwirken. Wie kommt es zu Sprunggelenk-Schmerzen? Veränderungen in der Biomechanik können leicht zu Beschwerden im Sprunggelenk mit dauerhafter Bewegungseinschränkung führen.
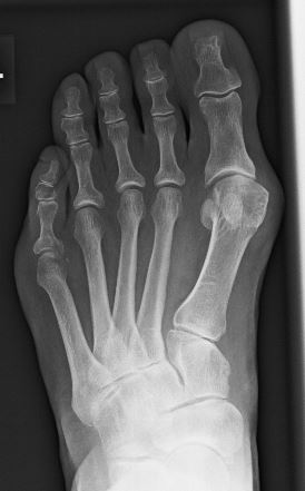
Hallux Valgus – Die Ballenzehe
Die Ballenzehe, in der Fachsprache Hallux Valgus, oder übersetzt x-förmige Großzehe ist eine v-förmige Veränderung des Großzehenstrahles mit Abweichung des Großzehengrundgelenkes nach innen.
Neben der kosmetischen Veränderung kommt es häufig zu einer problematischen Schuhversorgung durch Verbreiterung des Vorfußes sowie Irritation der Haut mit Rötung, Schwielenbildung und Schmerzen in diesem Bereich. Die veränderte Biomechanik kann eine Zunahme der Fehlstellung mit fortschreitender Arthrose führen.
In unserer Fußsprechstunde bieten wir Ihnen entsprechende Diagnostik, Möglichkeiten der konservativen Behandlung (orthopädische Einlagen, Taping, Schiene) mit Empfehlung von Fußeigenübungen und physiotherapeutischen Übungen.
Bei Zunahme der Fehlstellung können ebenso stadiengerechte operative Therapiemaßnahmen angeboten werden. Wenn die Fehlstellung bereits schmerzhaft ist eine Hallux-Valgus-OP ratsam.

V-förmige Abweisung des ersten Strahles am Fuß
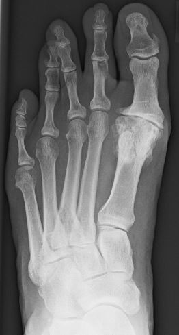
Hallux Rigidus – die steife Großzehe
Die „steife“ Großzehe, Hallux Rigidus, zeigt sich meist mit schmerzhaften Bewegungseinschränkungen des Großzehengrundgelenkes, häufig verbunden mit wulstartigen Verdickungen im Grundgelenk.
Bei Schmerzen im großen Zeh beraten wir Sie gern in unserer Fußsprechstunde. Einer Diagnose des Hallux Rigidus folgt üblicherweise zunächst eine konservative Behandlung mit der Möglichkeit orthopädischer Einlagen, Taping oder einer Schiene. Zudem empfehlen wir Fußeigenübungen und physiotherapeutische Übungen.
Verschlechtert sich die Fehlstellung und wird sie schmerzhaft, ist auch eine Operation denkbar.

Vollständiger Aufbrauch des Gelenkspaltes des Großzehengrundgelenkes mit durch die Abnutzung bedingen knöchernen Randanbauten und wulstartigen Verdickungen im Grundgelenk
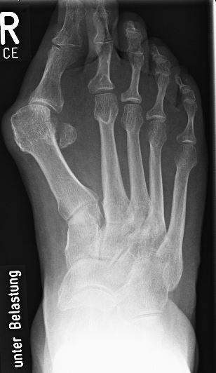
Schmerzen im Mittelfuß
Bei ausgeprägten Fehlstellungen mit Schmerz im Mittelfuß wie ausgeprägter Hallux valgus und Spreizfuß liegt als Ursache oft eine Instabilität in der Fußwurzel bzw. im ersten Mittelfußgelenk, meist genetisch bedingt. Dies kann zu Mittelfußarthrose oder Arthrose im Fußwurzelknochen führen. Bei Übergewicht ist die Belastung auf den Mittelfuß besonders groß.
Behandelt wird eine instabile Fußwurzel oder ein instabiles Mittelfußgelenk zunächst konservativ mit Einlagen, Muskelaufbau im Rahmen physiotherapeutischer Übungen und dem Verabreichen von antientzündlichen Medikamenten und Knorpel unterstützenden Medikamenten. Schreiten die Beschwerden fort, kann auch eine dauerhafte Ruhigstellung des Gelenkes (Fußgelenk versteifen) notwendig werden. Hierbei wird nicht der gesamte Fuß versteift, sondern lediglich ein oder zwei Gelenke. Beim Abrollen des Fußes sind nach abgeschlossener Heilung keine Einschränkungen zu erwarten.
Kommen Sie bei Fragen gern in unsere Fußsprechstunde. Wir schauen uns Ihren Fuß an und Suchen nach Ursachen Ihrer Schmerzen im Fuß sowie nach der für Sie bestmöglichen Behandlung. Bei einer instabilen Fußwurzel oder einem instabilen Mittelfuß kommen neben den konservativen Behandlungsmöglichkeiten wie Einlagenversorgung, Taping, Schienenbehandlung und der Empfehlung von Fußeigenübungen und physiotherapeutischen Übungen ergänzend gezielte Übungen der Steigbügelmuskulatur zur Verbesserung der Stabilität zum Zuge.

Ausladende Abweisung des ersten Mittelfußknochens nach „innen“ durch Instabilität des Mittelfußgelenkes
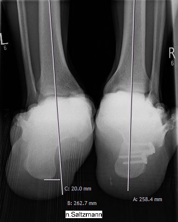
Knick-Senkfuß-Spreizfuß
Bei einem Knick-Senkfuß-Spreizfuß kommt es zu einer Abflachung des Längsgewölbes im Sinne eines Platt- oder Senkfußes. Zusätzlich kippt die Ferse / der Rückfuß nach innen (ähnlich eines X-Beines am Knie). Hierdurch entsteht eine einseitige Belastung des Fußes/Sprunggelenkes, welches zu Beschwerden anfangs im Innenbandbereich und im Verlauf auch im Bereich des Außenbandbereiches führen kann.
Hier sollten gezielte Übungen der Steigbügelmuskulatur ergänzend zur Verbesserung der Stabilität durchgeführt werden. Ebenso sind Einlagen, Taping oder Schienen oft hilfreich. Auch Fußeigenübungen und physiotherapeutische Übungen bringen oft eine Besserung der Beschwerden.
Bei sich verschlechternder Fehlstellung können operative Therapiemaßnahmen angeboten werden.
In unserer Fußsprechstunde informieren wir Sie zu Diagnostik, Möglichkeiten der konservativen Behandlung und OP-Möglichkeiten.

X-Förmige Abweisung der linken Ferse nach außen mit knicken des Sprunggelenkes nach innen (Gegenseite bereits korrigiert)

Deutliche Abflachung des Langgewölbes, sichtbar auch im Meary-Winkel zwischen Sprungbein und Mittelfuß
Die Unfallchirurgie
Die Unfallchirurgie versorgt Patienten, die Unfälle im Verkehr, Haushalt, bei der Arbeit oder an anderer Stelle erlitten haben.
Unser Behandlungsspektrum umfasst unter anderem:
- Erst- und Sofortversorgung Verletzter und Schwerverletzter (inkl. Verletzungen der Wirbelsäule)
- Behandlung von Knochenbrüchen und -verletzungen, Gelenksverletzungen, Verletzungen an Sehnen und Muskeln
- Operative und konservative Behandlung
Sportunfälle und Sportverletzungen wie z. B. Bänderrisse, Knie- und Hüftverletzungen - Kyphoplastie (minimalinvasive Operation von Wirbelkörperbrüchen durch Unfall oder Osteoporose)
- Behandlung von Verletzungsfolgen (Achsenkorrekturen, Korrektur fehlverheilter Knochenbrüche, Behandlung von Gelenkversteifungen)
Knochenbruchbehandlung mit dem Ziel einer schnellstmöglichen Funktionswiederherstellung (wenn möglich Vermeidung ruhigstellender Verbände, rasche Funktionstherapie)
Ein Teil der knöchernen Verletzungen lässt sich heute ohne Operation behandeln. Ist ein Eingriff notwendig, kann dieser meist minimalinvasiv (Schlüssellochtechnik) erfolgen. Hierzu werden spezielle Operationstechniken und modernste Implantate verwendet. Sowohl winkelstabile Platten, intramedulläre Kraftträger (Nägel im Knochenrohr) eingebracht, wie auch filigrane Platten für die Hand-und Fußchirurgie stehen zur Verfügung. Die Implantate sind in der Regel aus Titan und müssen nicht zwingend wieder entfernt werden.
Ergänzt wird das Spektrum durch arthroskopische Operationen (Spiegelungen) großer Gelenke und minimalinvasive Eingriffe bei Wirbelkörperbrüchen (Kyphoplastie), bei Bedarf ergänzt durch eine dorsale Stabilisierung mit minimalinvasiv eingebrachten Metallstäben. In unserer Abteilung steht die Schmerzfreiheit des Patienten im Vordergrund. Neben der Anlage von Schmerzkathetern um einen operativen Eingriff herum wird ein bewährtes Schmerzkonzept angewendet.
Chefarzt Dr. Bender ist zur Behandlung von Arbeitsunfällen von den Berufsgenossenschaften zugelassen (D-Arzt).
Physiotherapie, Ergotherapie, Physikalische Therapie
Unsere Leistungen sind unter anderem:
- Atemtherapie
- Bobath
- Cranio-Sacrale Therapie
- Elektrotherapie
- Entspannungstherapie
- Faszientherapie
- FDM-Therapie (Fasziendistorsionsmodell)
- Kinesio-Tape
- Gangtherapie
- Hilfsmittelversorgung
- Manuelle Therapie
- Manuelle Lymphdrainage
- Massagetherapie
- Medizinische Trainingstherapie (MTT)
- Neurologische Therapie
- Patientenschulung
- Prävention
- Physikalische Therapie
- Progressive Muskelentspannung
- Propriozeptive Neuromuskuläre Fazilitation (PNF)
- Rollstuhltraining
- Rückenschule
- Terraintraining
- Thermotherapie
Ablauf der Physiotherapie
Unsere Physiotherapeuten leiten Sie an, wie Sie sich nach erfolgter Operation im Alltag wieder sicher bewegen können und z.B. wieder Treppen steigen können.
Außerdem zeigt Ihnen der behandelnde Physiotherapeut Übungen für ein selbstständiges Trainingsprogramm zu Hause und erklärt Ihnen detailliert die verschiedenen Übungen.
Wichtig: Die Reaktivierung der Muskulatur
Neben der Wiedererlangung der Gangsicherheit liegt ein wesentlicher Behandlungsschwerpunkt auf der Reaktivierung der Muskulatur, da sich diese nach der Operation durch die Traumatisierung des Gewebes sowie durch operationsbedingte Blutergüsse träge verhält. Eine zügige Forderung der Muskulatur führt zu einer schnelleren Erholung und dadurch zu einer raschen Normalisierung Ihrer Aktivitäten. Die Wiedererlangung der Beweglichkeit des operierten Gelenkes muss daher von Beginn an gezielt gefördert werden.
Mehrmals täglich führen Sie daher unter Anleitung des behandelnden Physiotherapeuten selbstständig Übungen durch.
Das Knie Mobilisieren
Ebenso wichtig wie die Beugung ist das Durchstrecken des Knies. Deshalb sollte auf eine gewinkelte Lagerung des Knies verzichtet werden, obwohl dies häufig als angenehmer empfunden wird. Damit Sie schnellstmöglich auch alltägliche Dinge wie etwa Schuhe anziehen oder Gegenstände vom Boden aufheben wieder selbstständig durchführen können, geben unsere Physiotherapeuten Ihnen wertvolle Tipps und zeigen Ihnen nützliche Hilfsmittel.
Die Physiotherapie erfolgt in Einzelsitzungen. Während des Klinikaufenthalts im EPZ Bad Windsheim haben Sie auch Gelegenheit, sich mit anderen Patienten nach Kniegelenkersatz, Hüft-Endoprothetik oder Schulter-Operation auszutauschen. Unsere Physiotherapeuten werden Sie täglich fordern und in Ihrem Heilungsprozess unterstützen – jedoch ist Ihre aktive Mitarbeit und tägliche Übungen unbedingt erforderlich.
>>> Einige Eigenübungen für zu Hause haben wir Ihnen hier zusammengestellt
>>> Hier finden Sie unseren Flyer mit Tipps zur Förderung der Lymphdrainage (PDF)
Das sagen unsere ehemaligen Patienten
Informieren Sie sich auf unserer Webseite mein-gelenk.de über die Erfahrungen unserer Patientinnen und Patienten, die sich bereits im EPZ in Bad Windsheim haben operieren lassen. Alle Videos mit den Patientenstimmen haben wir hier für Sie zusammengestellt.
Häufig gestellte Fragen















